topdoctors logo
EspecialidadesEnfermedadesClínicas y CentrosDentistas
Zona para profesionales

Pide una cita

Teclea el nombre de la Especialidad, Tratamiento, Patología o Prueba Médica buscada

  • Inicio
  • Artículos médicos
  • Categorías
  • Malformación de Chiari

Artículos médicos de Malformación de Chiari

  • malformacion-de-chiari-tipo-i-mas-que-un-dolor-de-cabeza imagen de artículo
    Leonardo Álvarez Betancourt
    03/09/2018
    Dr. Leonardo Álvarez Betancourt

    Neurocirugía y Cirujano de Columna

    Malformación de Chiari Tipo I: más que un dolor de cabeza

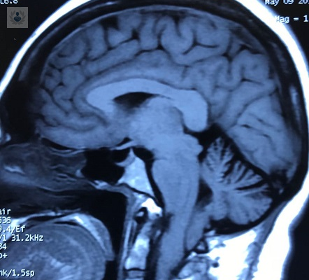
    La malformación de Chiari Tipo I (MCI) es una enfermedad congénita y sin patrón de herencia específico.

    • Ver más artículos de este doctor
  • malformacion-de-chiari-que-es-y-como-se-detecta imagen de artículo
    Leonardo Álvarez Betancourt
    16/02/2016
    Dr. Leonardo Álvarez Betancourt

    Neurocirugía y Cirujano de Columna

    Malformación de Chiari: ¿qué es y cómo se detecta?

    La malformación de Chiari es una enfermedad congénita, se presenta después de la adolescencia y hasta la etapa de adulto. El tratamiento es quirúrgico y tiene como objetivo descomprimir principalmente la unión del tallo cerebral con la médula.

    • Ver más artículos de este doctor
en su ciudad

Teclee el nombre de la Especialidad, de la Enfermedad o del Nombre del Doctor buscado

  • Sobre Top Doctors
  • Quiénes somos
  • ¿Por qué elegirnos?
  • Garantía de calidad
  • Cómo funciona el proceso de selección
  • Comité médico
  • Política de privacidad
  • Condiciones de uso
  • Política de cookies
  • Política de uso para aplicaciones de terceros
  • Profesionales de la salud
  • Doctores
  • Centros de excelencia
  • Empresas colaboradoras
  • Forme parte de Top Doctors
  • Top Doctors Awards
  • Nominar doctores
  • Atención al paciente
  • Directorios Médicos de Seguros
  • Sugerencias y preguntas
  • Preguntas más frecuentes
  • Todos los tratamientos médicos
  • Prensa y medios
  • Medios de comunicación
  • Artículos médicos
  • Idiomas

Contacto

…

+52 55 9331 5610

Redes sociales
CertificadosComodo Secure
Política de privacidad y Condiciones de uso

Top Doctors México | Av Ejército Nacional 216-Piso 9, Anzures, Miguel Hidalgo, 11590 Ciudad de México, CDMX