topdoctors logo
EspecialidadesEnfermedadesClínicas y CentrosDentistas
Zona para profesionales

Pide una cita

Teclea el nombre de la Especialidad, Tratamiento, Patología o Prueba Médica buscada

  • Inicio
  • Artículos médicos
  • Categorías
  • Derrame Pleural

Artículos médicos de Derrame Pleural

  • derrame-pleural-maligno-en-que-casos-se-presenta imagen de artículo
    Marco Antonio Iñiguez García
    03/04/2023
    Dr. Marco Antonio Iñiguez García

    Cirujano Torácico

    Derrame Pleural Maligno: en qué casos se presenta

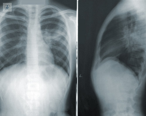
    El Derrame Pleural Maligno (DPM) es la presencia de líquido en el espacio pleural y se debe a la presencia e infiltración de células cancerosas que han invadido las membranas pleurales.

    • Ver más artículos de este doctor
  • derrame-pleural-que-es-tipos-y-tratamientos imagen de artículo
    Elí Omar Zavaleta Martínez
    03/04/2023
    Dr. Elí Omar Zavaleta Martínez

    Neumólogo

    Derrame Pleural: qué es, tipos y tratamientos

    Se denomina Derrame Pleural (DP) cuando se acumula líquido entre las membranas que recubren las costillas del tórax y los pulmones.

    • Ver más artículos de este doctor
  • derrame-pleural-que-es-y-que-lo-causa imagen de artículo
    José Carlos Herrera García
    07/09/2018
    Dr. José Carlos Herrera García

    Neumólogo

    Derrame Pleural: ¿Qué es y qué lo causa?

    El abordaje del derrame pleural debe ser siempre de manera sistemática y ordenada; existen más de 50 causas posibles; tomando en cuenta la historia clínica y estudios de imagen. La integración de una ruta de las características del líquido pleural es una herramienta primordial para obtener un diagnóstico rápido y tratamiento óptimo.

  • derrame-pleural-tratamiento-eficaz-parte-2 imagen de artículo
    Walid Leonardo Dajer Fadel
    28/01/2016
    Dr. Walid Leonardo Dajer Fadel

    Cirujano Cardíaco

    Derrame pleural: tratamiento eficaz (Parte 2)

    El primer objetivo en el tratamiento para el derrame pleural es extraer el líquido (toracocentesis) de la cavidad para mejorar la fisiología respiratoria y la desaparición de los síntomas, seguido del diagnóstico a través de las pruebas mencionadas en la primera parte de este artículo.

    • Ver más artículos de este doctor
  • derrame-pleural-signos-de-alarma-y-causas-parte-1 imagen de artículo
    Walid Leonardo Dajer Fadel
    28/01/2016
    Dr. Walid Leonardo Dajer Fadel

    Cirujano Cardíaco

    Derrame pleural: signos de alarma y causas (Parte 1)

    Un derrame pleural puede ser provocado cuando existen procesos inflamatorios en el tórax, un ejemplo es la neumonía, en el que el 50% de los casos produce algo conocido como derrame paraneumónico.

    • Ver más artículos de este doctor
en su ciudad

Teclee el nombre de la Especialidad, de la Enfermedad o del Nombre del Doctor buscado

  • Sobre Top Doctors
  • Quiénes somos
  • ¿Por qué elegirnos?
  • Garantía de calidad
  • Cómo funciona el proceso de selección
  • Comité médico
  • Política de privacidad
  • Condiciones de uso
  • Política de cookies
  • Política de uso para aplicaciones de terceros
  • Profesionales de la salud
  • Doctores
  • Centros de excelencia
  • Empresas colaboradoras
  • Forme parte de Top Doctors
  • Top Doctors Awards
  • Nominar doctores
  • Atención al paciente
  • Directorios Médicos de Seguros
  • Sugerencias y preguntas
  • Preguntas más frecuentes
  • Todos los tratamientos médicos
  • Prensa y medios
  • Medios de comunicación
  • Artículos médicos
  • Idiomas

Contacto

…

+52 55 9331 5610

Redes sociales
CertificadosComodo Secure
Política de privacidad y Condiciones de uso

Top Doctors México | Av Ejército Nacional 216-Piso 9, Anzures, Miguel Hidalgo, 11590 Ciudad de México, CDMX