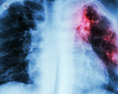
Fibrosis Pulmonar Idiopática: mejorando la respiración, mejorando la vida
Se caracteriza por la formación de cicatrices (Fibrosis) en el tejido pulmonar, lo que dificulta la respiración y reduce la capacidad de los pulmones para funcionar correctamente.







